臨床検査部
臨床検査部は、すべての診療科に関わる様々な検査に携わっており、それらが診療の基礎となっています。
正確な検査データを迅速に提供し安心で安全な医療環境、円滑な病院業務の遂行、さらには患者サービスの向上に繋げ信頼される検査室を目指して日々の業務に従事してまいります。
当院では、検体検査、心電図検査(安静時心電図・負荷心電図・ホルター心電図)、超音波検査(頸動脈・心臓・下肢静脈)、脳波検査、呼吸機能検査、ABI検査、認知機能検査、睡眠時無呼吸検査等を行っています。
検体検査部門
患者さんから採取した材料(血液・尿・便・穿刺液・喀痰など)を検査します。
生化学および血清検査
院内の至急検査として、肝機能(AST・ALT)、腎機能(BUN・CRE)、電解質(Na・K・CL)、炎症反応(CRP)などを測定しています。それ以外の採血項目は外注検査に委託しています。
血液検査
血液中の赤血球、白血球、血小板などの数を測定しています。また出血傾向か血栓傾向かの指標となる凝固線溶系(PT・Dダイマー)も検査しています。
一般検査
尿中の成分(糖・蛋白・潜血など)を調べることにより、糖尿病や腎・尿路系疾患の鑑別とその程度を知るために検査しています。
細菌検査
炎症部位より採取された検査材料を用いて院内にてグラム染色を行い、細菌の形態を観察しています。
さらに細菌培養同定、感受性検査は外注検査に委託しています。
新型コロナウイルス遺伝子検査も実施しております。
生理検査部門
超音波検査
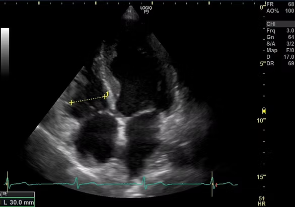
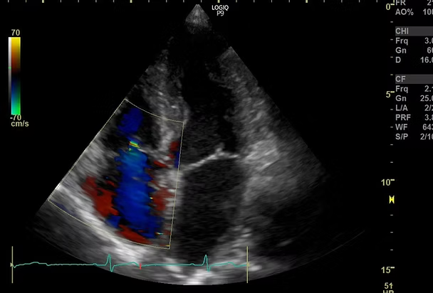
頸動脈エコー、心臓エコー、下肢静脈エコーの検査を行っています。頸動脈エコーは首の中にある頸動脈を観察し、動脈硬化のために血管が傷んでいないか、血液の流れが悪くなっていないかを調べる検査です。心臓エコーは心臓の大きさや心臓の筋肉の動きを観察することによって、心臓のポンプ機能が働いているかを調べます。下肢エコーは太ももからくるぶしにかけて静脈の流れが悪くなってないかを調べる検査です。いずれの検査も痛みのない、手軽で安全な検査です。
頸動脈エコー
心臓エコー
心電図検査
心臓の筋肉(心筋)は、血液を全身に送り出すため規則的に収縮・拡張しており、その時に微弱な電気信号を発生させています。心電図検査は、手足や胸に電極を付けて、心臓の電気信号を波形として記録し、心臓の状態を調べる検査です。不整脈(脈の乱れ)や心筋虚血(心筋への酸素供給の不足状態)などを知ることができます。検査時間は約3~5分です。
ホルター心電図検査
ホルター心電図検査は軽量でワイヤレスの小型心電計を胸に1箇所長時間装着し心電図を記録します。当院では最長7日間ホルター心電計を装着し検査を実施しています。
この心電図を解析し日常生活における心臓の動き(拍動)を調べ、不整脈や狭心症など異常がないかを検査します。
負荷心電図検査
運動をして心臓に負荷をかけたときの心電図変化をみる検査です。
心臓の状態や心臓から全身へ血液が送り出されるときに血管にかる圧力などがどう変化するかを調べ、病気の有無や治療の効果を調べるます。
安静時にはわからない不整脈や狭心症、心臓病の診断とその重症度の判定、心機能の評価など、運動誘発性不整脈などの診断を行います。当院では2段の階段を昇り降りしその前後の心電図変化を比較する検査を実施しています。(マスター2階段負荷試験)
脳波検査
脳が働くときに出る電気信号を、波形として記録する検査です。
仰向けに寝た状態で頭皮に多数の小さな電極を貼り付けて検査します。痛みやしびれなどは一切ありません。
検査時間は、おおよそ1時間ほどかかります。
脳の働き具合を調べ、脳血管障害や脳炎、てんかんなどの診断や治療に役立てます。
長谷川式認知機能検査
HDS-R長谷川式簡易知能評価スケール(HDS-R)とは、認知症の疑いや認知機能の低下を早期に発見することができるスクリーニングテストです。
いくつかの評価項目があり見当識や記憶、計算など認知機能を評価するために重要な要素が含まれています。
またMMSE(Mini-Mental State Examination)やかなひろいテストも行っています。
血圧脈波
血圧脈波検査は、血管の硬さや詰まりなど血管の状態を調べる血管機能検査です。血管機能検査にはいくつか種類があり身体への負担が少なく簡単に測定できます。動脈の血管壁の硬さや詰まり具合など、動脈硬化の程度を調べることができます。
In body
体内の電気抵抗を測定するBIA法(生体電気インピーダンス分析)を用いて体内のタンパク質、体脂肪、骨、ミネラルなど体の成分を分析する検査です。
体の栄養状態、体の健康状態(運動不足など)、むくみの程度や身体、の筋肉量を知ることができます。
肺機能検査
肺機能検査は息を吸ったり吐いたりして肺の機能を調べる検査です。「安静呼吸」と「努力呼吸」の2つをみる検査を行い肺の大きさである「肺活量」と気管支の狭さである「1秒量」を測定することで様々な呼吸器疾患の診断に役立ちます。
睡眠時無呼吸検査
睡眠時無呼吸症候群の検査ではPSG検査お行っています。 PSG検査には終夜睡眠ポリグラフと簡易型PSG検査の2種類の検査があります。
PSG検査(終夜睡眠ポリグラフ)は最も精密な検査方法で入院していただき睡眠時の脳波、筋電図、心電図、血液中の酸素等、呼吸などさまざまな生体信号を測定します。
簡易型PSG検査は自宅でできる検査で日常生活の予定をずらさず就寝時に機器を装着し、睡眠中のいびき・呼吸・心拍・酸素飽和度などを測定する検査です。







