放射線部
病気の早期発見や正確な診断において、画像診断は医療の要となる分野です。専門知識を持ったスタッフが一体となり、患者様一人ひとりの状態に応じた検査を行い365日、24時間体制で質の高い画像を提供できるよう日々努力しています。
当院の診療放射線技師はMRI、CT、X線など、各装置の専門知識と撮影技術を習得しています。装置の性能を十分に活用し、高品質な画像を提供することはもちろん、患者さんが安全かつ安心して検査を受けられるよう、細心の注意を払っています。検査中は、患者さんの状態を常に確認し、声かけを行いながら不安を軽減できるよう努めています。被ばく線量の管理や、MRIの強力な磁場での安全管理など、安全を最優先に日々の業務にあたっています。何かご不明な点やご不安なことがあれば、遠慮なくお声がけください。
検査を受ける患者様が安心して受診していただくために
当院の放射線部では、患者様が安心して検査を受けていただけるよう、以下の点に配慮し、きめ細やかなサポートを心がけています。
検査前の説明
各検査について、担当の診療放射線技師が、検査の目的、手順、所要時間、注意点などを分かりやすく丁寧にご説明いたします。疑問や不安なことがあれば、どんな些細なことでもお気軽にご質問ください。
被ばく線量への配慮
X線を使用する検査(CT、レントゲンなど)においては、必要最低限の被ばく線量で診断情報が得られるよう、常に新しい技術とプロトコルを用いています。定期的な機器の点検や、低被ばく技術の導入により、患者さんの安全を最大限に確保しています。
検査中の配慮
検査室の環境整備(室温、照明など)にも配慮し、患者さんがリラックスして検査を受けられるよう努めています。特に、MRI検査のように閉所が苦手な方には、検査前に詳しく説明し、可能な限りの配慮(タオルをかける、声をかけるなど)を行います。体勢がつらい場合は、遠慮なくお申し出ください。
MRI
当院では、患者さんの身体的負担を最小限に抑えつつ、病気の早期発見と正確な診断を可能にする**MRI(Magnetic Resonance Imaging:磁気共鳴画像診断装置)**を導入しています。MRIは、強力な磁石と電波を利用して体内の様子を画像化する検査装置で、放射線を使用しないため、X線被ばくの心配がありません。
またディープラーニングを用いた再構成技術「Deep Resolve」も搭載しており撮像時間を短縮しつつ高解像度の画像を提供しております。更に造影剤を使用せずに脳血流を画像化する技術ASL(Arterial Spin Labeling)も搭載しております。
検査を受けるにあたっての注意点
MRI検査は非常に有用な検査ですが、安全に受けていただくためにいくつかの注意点があります。ご不明な点や不安なことがございましたら、検査前に遠慮なくスタッフにお尋ねください。
金属類の持ち込み禁止
MRI装置は強力な磁石を使用するため、金属類(時計、アクセサリー、眼鏡、ヘアピン、入れ歯、補聴器、カイロ、ICカード、携帯電話、小銭など)は検査室に持ち込むことができません。事前にすべて外していただきます。
体内金属・医療機器の確認
体内に金属(心臓ペースメーカー、人工内耳、脳動脈クリップ、埋め込み型除細動器、古いタイプの人工関節など)や医療機器がある場合、検査を受けられない場合があります。また、タトゥーやアートメイクの染料に含まれる金属成分、コンタクトレンズの種類によっては注意が必要です。必ず事前に担当医師や技師にお申し出ください。
閉所恐怖症の方
MRI装置はトンネル状になっているため、閉所が苦手な方は事前にご相談ください。検査中の不安を和らげるために、音楽をきいていただいたり必要に応じて鎮静剤の使用も検討できます。
造影剤の使用について
より詳細な情報を得るために造影剤を使用する場合があります。造影剤は安全性の高いものですが、アレルギー体質の方や腎臓の機能が低下している方には使用できない場合があります。
MAGNETOM Avanto Fit
(siemens社製)
撮影件数:2023年 4191件/2024年 3984件
CT
当院が導入しているシーメンス社製の64列CT「SOMATOM go.Top」は、※逐次近似法の技術を搭載しており、短時間で精細な画像を提供します。この装置は、特に頭部の撮影においてその真価を発揮します。脳神経外科専門病院である当院において、頭部外傷、脳出血、くも膜下出血、骨折などの緊急を要する疾患の診断には不可欠な存在です。迅速な撮影により、病態を正確に把握し、一刻を争う治療へと繋げています。
被ばく線量に対しても最大限配慮しており、被ばく低減技術を搭載しています。患者さんのご負担を最小限に抑えつつ、質の高い画像診断を提供しています。
またAI技術を活用し誰でも同じように高いレベルで実行できるワークフローの自動化(AIワークフロー)により装置付属のタブレット端末を用いて検査室内の被検者のそばで行うことができオペレーターが被検者に寄り添うことで,被検者の不安を和らげ安心感を与えるとともに,オペレーターにとっても快適で効率的な検査を行います。
※逐次近似法とは、方程式を解く際に、まず粗い近似解を求め、それを基に、より精度の高い近似解を繰り返し計算していくことで、真の解に近づけていく方法です。この方法を繰り返すことで、解の精度を上げていくことができます。
SOMATOM go.Top
(siemens社製)
撮影件数:2023年 5823件/2024年 5984件
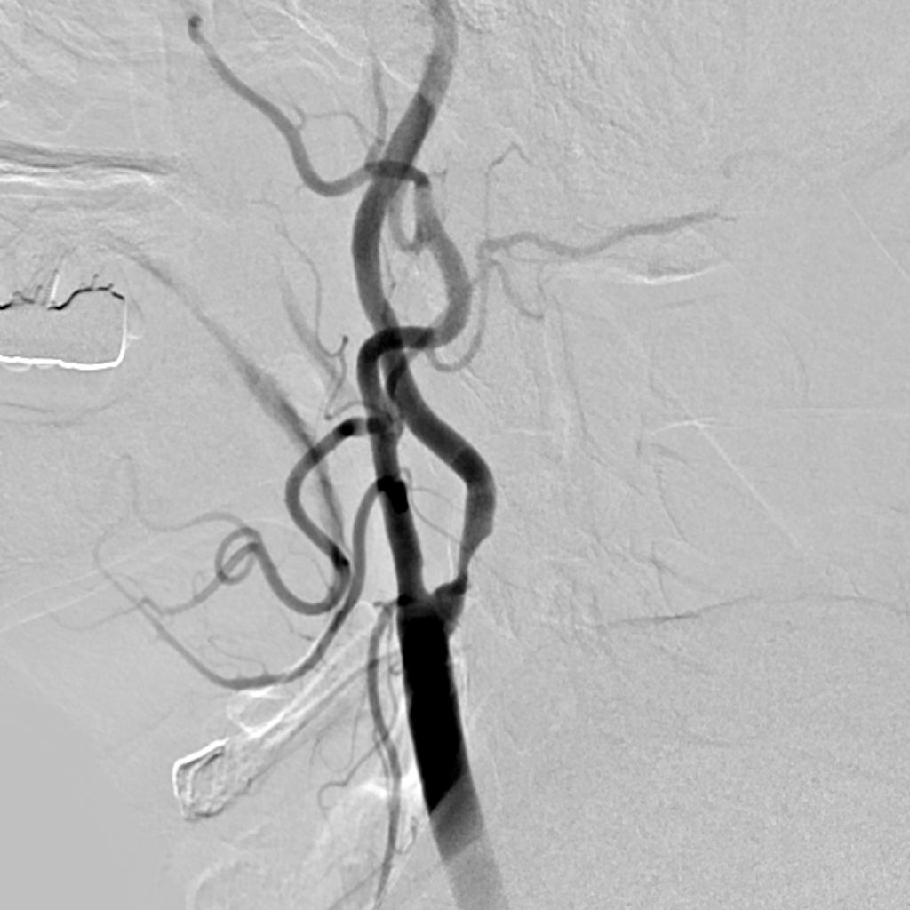
アンギオ装置
肘や太ももの付け根の動脈からカテーテルと呼ばれる細い管を挿入し、造影剤という薬剤を流し込みながら X 線撮影を行うことで、血管の状態や、流れを観察する検査です。
これにより血管にできたコブ(動脈瘤)、血管の狭窄、血管奇形、腫瘍などをより正確に把握し、今後の治療方針の検討を行います。
当院のアンギオ装置Artis zeeはフラットパネル血管造影システムにより、従来装置と比較して約50%の被曝量削減を実現しています。また3D撮影することにより的確な画像を提供することができます。
当院では必要に応じて脳血管内治療(IVR)も行います。
脳動脈瘤のコイル塞栓術や、脳血管の狭窄に対するステント留置術など、IVR(インターベンショナル・ラジオロジー:)と呼ばれる血管内治療に対応しています。
Artis zee
(siemens社製)
脳血管画像
脳血管3D画像
頸部血管画像
脳血管内治療WovenEndoBridgeデバイス(WEB)
3Dワークステーション(画像解析システム)の紹介
立体的な画像診断で精密医療を実現
当院では3D画像解析システムSYNAPSE VINCENT ver6.4(Fujifilmhealthcare製)を導入し、CT・MRI・アンギオ検査で取得した画像データを立体的に再構成・解析しております。従来の平面的な断層画像に加えて、臓器や血管を3次元で可視化することで、より正確で詳細な診断と治療計画の立案を可能にしています。
3Dワークステーションの特徴とメリット
立体的な病変の把握
平面画像では判別困難な複雑な病変の形状、位置関係、周囲組織との関係を3次元で正確に把握できます。特に血管の走行や腫瘍の進展範囲の評価に威力を発揮します。
患者様への分かりやすい説明
3D画像を用いることで、病状や治療方針を視覚的に分かりやすくご説明できます。患者様とご家族の理解を深め、安心して治療を受けていただけます。
当院3Dワークステーションの強み
高性能解析システムを導入し3D画像解析を提供しています。AI画像解析技術も積極的に活用し、解析時間の短縮と診断精度を向上しています。
3D画像解析システム
SYNAPSE VINCENT Ver 6.4
フラットパネルエックス線撮影システムの紹介
当院では、富士フイルムメディカル製の最新フラットパネルエックス線撮影システム(FPD:Flat Panel Detector)を導入し、従来のフィルム式レントゲン撮影を大幅に上回る高画質・低被曝のデジタルX線検査を提供しております。富士フイルムの先進的な画像処理技術により、より正確で迅速な診断を実現しています。
フラットパネル撮影システムの特徴とメリット
圧倒的な高画質
従来のフィルム撮影と比較して、約10倍の情報量を持つデジタル画像により、微細な病変や早期の変化も鮮明に描出できます。富士フイルム独自の画像処理技術「ISS(Intelligent Smart Sensor)」により、最適な画質で撮影されます。
大幅な被曝線量削減
フラットパネルの高い感度により、従来システムと比較して約30-50%の被曝線量削減を実現。患者様により安全な検査環境を提供いたします。
瞬時の画像確認
撮影後数秒で高精細なデジタル画像が表示され、再撮影の必要性を即座に判断できます。検査時間の短縮と患者様の負担軽減につながります。
バーチャルグリッド Virtual Grid
撮影条件(X線の強さ、量など)や撮影部位、被検者の体格などさまざまな要因の影響を受ける散乱線成分を高速かつ忠実に計算。散乱線によるノイズを制御し、コントラストを調整しています。









