脳神経外科
脳の異変は時間との勝負。専門チームが迅速に対応します。
突然のしびれ、ふらつき、ろれつが回らないといった症状は、大きな不安を伴います。私たち伊丹恒生脳神経外科病院は、救急医療をはじめとする地域の皆様に必要とされる医療を目指し、新しい医療、高水準の医療サービス、高度な医療機器をもって、患者様の早期回復に全力を尽くします
特徴
一刻を争う事態に。
命を守る24時間救急受付体制
脳の病気は、わずかな時間の遅れが予後に影響することがあります。当院は、24時間救急受付をしており、緊急性の高い症状に迅速に対応できる体制を整えています。
ただし、他の患者様の処置を行っている時など、場合によっては受け入れができないこともありますので、受付時間外の診療については必ず電話にてご確認ください。
退院後の生活を見据えて。
急性期から生活期まで一貫した治療・援助。
手術や急性期の治療が終わった後、患者様が元の生活に戻るためのリハビリテーションは非常に重要です。
当院では、2015年度に回復期リハビリテーション病棟を開設しており、急性期から生活期まで一貫した治療・援助を実現しています。一日も早いご退院を目指し、最善の医療環境をご提供しております。
高水準の医療と高度な医療機器で、
早期回復を支えます。
私たちは、質の高い医療を提供するため、高い意識を持った医師が患者様やご家族に向き合い、最新の知見に基づいた専門的な治療を実施しています。
快適な医療環境と、高度な医療機器を備え、患者様とご家族が安心して治療に専念できる環境の保持に努めています。
こんな症状があれば、迷わずすぐにご相談ください
- 急に体の片側がしびれたり、手足に力が入らない
- ろれつが回らない
- 突然ふらつくが、すぐに元に戻る
- ものが二重に見える、または突然、片目が見えなくなる
- 頭部を打撲し、おう吐や頭痛がある
主な疾患
| 脳血管障害 | くも膜下出血(脳動脈瘤)、脳梗塞、脳内出血、他 |
|---|---|
| 頭部外傷 | 慢性硬膜下血腫、急性硬膜下血腫、急性硬膜外血腫、他 |
| その他 | 脳腫瘍、水頭症、その他 |
主な治療法|くも膜下出血
突然の頭痛に潜む重大な病気。早期治療が回復への第一歩です。
脳は「くも膜」という膜に包まれており、その下で出血する状態をくも膜下出血といいます。多くは、脳の血管が風船のようにふくらんだ「動脈瘤」が破れることで起こります。
突然強い頭痛などの症状をきたし、重い状態になることがありますが、出血の量が少ない場合は早期に治療することで回復の可能性も高まります。
当院の脳神経外科専門医が迅速な検査と適切な治療を行い、一人ひとりの状態に合わせて丁寧にサポートします。
01再破裂
動脈瘤は一旦破裂すると再破裂がおこりやすくなり、症状が急に悪化したり死亡したりすることがあります。このため、まずは再破裂を防止するべく手術が必須となります。手術は二通りあって、開頭して行うクリッピング手術とカテーテルによるコイル塞栓術が挙げられますが、動脈瘤の場所や患者さんの状態により最も適した方法を検討して提供いたします。
02脳血管攣縮
くも膜下出血後、二週間以内に発生することが多い病態で、出血した血液が脳の血管を刺激して血管が収縮させることで起こります。脳への血流が少なくなって脳梗塞を起こす危険があるため、点滴やカテーテル治療による血管拡張等で対応します。
03水頭症
くも膜下出血の直後から3ヶ月後以内にかけて多く発生します。くも膜下出血のために脳脊髄液の循環が障害され、水が溜まって脳室が拡大することで起こります。水頭症になると脳を圧迫し、意識障害、認知機能低下、歩行障害、尿失禁などの症状が出現します。治療は、脳室に管を入れ皮膚の下を通し腹部に脳脊髄液を流す手術を行います。(脳室腹腔短絡術:シャント手術といいます。)
主な治療法|未破裂脳動脈瘤
経験と実績に基づき、脳動脈瘤の的確な判断をおこないます
脳動脈瘤とは脳の動脈にできた瘤(コブ)のことで、この瘤があっても一度も破れたことの無い場合には、これを未破裂脳動脈瘤と呼びます。未破裂脳動脈瘤は一般の成人の約4~6%位がこれを有すると言われており、脳ドックの普及、CTやMRIなどの普及により、発見される頻度が増加してきています。
脳動脈瘤は、ひとたび破裂すれば「くも膜下出血」を引き起こし、一旦発症すると約1/3しか社会復帰ができず、その他は重篤な障害を残したり、亡くなってしまうことがあります。動脈瘤の破裂率に関しては、瘤の大きさや形、生活習慣や全身の状態などによって様々なために個々に評価する必要がありますが、破裂率が高いと考えられる場合や患者さんがご希望される場合などには、くも膜下出血の回避を目的として脳動脈瘤に対し治療が行われます。
01開頭クリッピング手術
開頭手術を行って動脈瘤の頸部をチタンなど生体親和性の良い金属で作られた小さなクリップで閉塞させます。
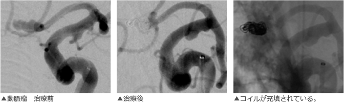
02脳血管内手術(カテーテル手術:脳動脈瘤コイル塞栓術)
極小のプラチナコイルがマイクロカテーテルを経由して脳動脈瘤に導かれます。コイルは柔軟性に富むため、脳動脈瘤の形状に沿って留置されます。 脳動脈瘤はコイルで充填されて、脳動脈瘤内部への血流を防ぎます。
実際のカテーテル治療画像
主な治療法|脳梗塞
脳の血流を見極め、最善の治療へつなげます
脳の血管が何らかの原因で狭くなったり、詰まったりするとその先にある脳細胞に血液が充分に行き渡らなくなります。血液が足りなくなると脳細胞は死んでしまい、これを脳梗塞と言います。脳細胞は場所により異なった働きをしているため、脳梗塞を起こした部位・範囲によって様々な症状を起こします。
脳梗塞の治療に関しては、従来は脳梗塞の拡大・悪化を抑える点滴・内服とリハビリテーションによる機能回復が一般的でしたが、最近では発症後早期なら使用可能なt-PA療法(血栓を強力に溶かす点滴)や、カテーテルによる血栓回収・再開通療法が大きな効果を発揮するようになってきており、当院では24時間対応しております。また、内頚動脈狭窄症など脳梗塞の原因となりうる病変に対して行われる頸動脈ステント留置術(CAS)や、血管の慢性閉塞によって血流が足りなくなった部分に血流を補うバイパス手術などの治療も積極的に行っております。
主な治療法|脳内出血
出血の状態を正確に見極め、最適な治療を選択します
脳内には無数の血管が細かく張り巡らされていますが、その中でも細い血管が切れてしまい、脳実質の中に出血する病気です。脳内出血は場所・大きさにより状況が異なり、無症状から死に至るような重症のものまで様々です。小さくて生命の危機に直結しない出血の場合は点滴・安静にて出血拡大を防ぐ治療が選択されます。しかし、出血が大きくて重症の場合や、急速に大きくなる(=まだ止血していない)出血の場合、また手術をすることで症状回復が明らかに早くなると判断される場合は、血腫を取り除く手術が必要になります。
脳内出血の原因の多くは、動脈硬化によって脳動脈が傷んだ状況に高血圧状態が加わることで起こります(=高血圧性脳内出血といいます。)が、それ以外にも脳動脈の血管奇形や血管腫等が原因となる場合もありますので、追加で詳しい精査が必要なこともあります。